Rehan Dental Surgery
Home Reviews Blog Gallery Contact +92 21 34924052

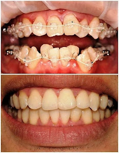
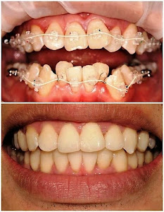
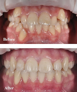
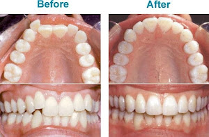
Welcome to our gallery

See how our company transforms ideas into reality. This gallery is a visual testament to our work and achievements.

Privacy Policy Regulations
Powered by
Localo